25 Απριλίου 2026
ΕΝΤΥΠΗ ΕΚΔΟΣΗ
ΣΥΝΔΡΟΜΕΣ
ΠΡΩΤΟΣΕΛΙΔΑ
ΚΙΝΗΣΗ
EleftherosTypos.gr on Google News
EleftherosTypos.gr on Facebook
EleftherosTypos.gr on X / Twitter
EleftherosTypos.gr on Instagram
EleftherosTypos.gr on YouTube
EleftherosTypos.gr RSS/Atom Feed
Ειδήσεις
Πολιτική
Ελλάδα
Διεθνή
Οικονομία
Αθλητικά
Πολιτισμός
Lifestyle
Καιρός
Υγεία
Αυτοκίνητο
Περιβάλλον
Ταξίδι
Αναζήτηση για:
Αθήνα Καιρός
Όλες οι Ειδήσεις
Ελλάδα
ΕΓΚΛΗΜΑ
ΣΕΙΣΜΟΣ
ΚΙΝΗΣΗ
ΚΑΙΡΟΣ
Πολιτική
Παραπολιτικά
Ελληνοτουρκικά
ΚΥΡΙΑΚΟΣ ΜΗΤΣΟΤΑΚΗΣ
Διεθνή
Οικονομία
Επιχειρήσεις
ΟΑΕΔ
Ασφάλιση & Συντάξεις
Αγροτικός Τύπος
Ενέργεια
Αθλητικά
ΠΟΔΟΣΦΑΙΡΟ
ΜΠΑΣΚΕΤ
Στοίχημα
ΟΛΥΜΠΙΑΚΟΣ
ΠΑΝΑΘΗΝΑΪΚΟΣ
ΑΕΚ
ΠΑΟΚ
Τσάμπιονς Λιγκ
Γιουρόπα Λιγκ
Lifestyle
Ζώδια
ΡΙΑΛΙΤΙ
ΤΗΛΕΘΕΑΣΗ
ΣΕΙΡΕΣ
Υγεία & Επιστήμη
Πολιτισμός
ΘΕΑΤΡΟ
ΣΙΝΕΜΑ
ΜΟΥΣΙΚΗ
ΒΙΒΛΙΟ
Ταξίδι
Περιβάλλον
Media
Tech & Science
NASA
FACEBOOK
TIKTOK
INSTAGRAM
X
Κουζίνα & Γεύσεις
Εστιατόρια
Συνταγές
myPet
Videos
Απόψεις
Το Πρόσωπο Της Εβδομάδας
autotypos.gr
Περισσότερα
Συνεντεύξεις
Ιστορίες
Στρατηγική
Περίεργα
Σπίτι
Γελοιογραφίες
Η Θέση Μας
Ελεύθερος Τύπος Κυριακής
ETIPS
Δίαιτα & Μεταβολισμός
Ψυχαγωγία
Cinema-TV
Advertorial
Δελτία Τύπου
English Edition
Ειδικές Εκδόσεις Ε.Τ.
Αθήνα Καιρός
Newsletter
Ταυτότητα
Όροι Χρήσης
Πολιτική Cookies
Διαφημιστείτε σε εμάς
Έντυπη έκδοση
Συνδρομές
Πρωτοσέλιδα
Κίνηση
EleftherosTypos.gr on Google News
EleftherosTypos.gr on Facebook
EleftherosTypos.gr on X / Twitter
EleftherosTypos.gr on Instagram
EleftherosTypos.gr on YouTube
EleftherosTypos.gr RSS/Atom Feed
ΔΙΑΓΝΩΣΗ
ΔΙΑΓΝΩΣΗ
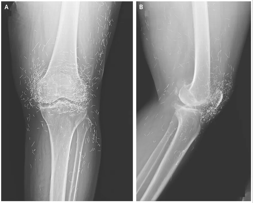
Διαγνωστικό δίλημμα: Ο έντονος πόνος στο γόνατο μιας γυναίκας αποκάλυψε... «χρυσές κλωστές» στις αρθρώσεις της
12/09/2025
12:35
ΔΙΑΓΝΩΣΗ
Θεσσαλονίκη: Διέγνωσαν λανθασμένα καρκίνο σε 52χρονη και της έκοψαν το στήθος
26/02/2025
18:26
ΔΙΑΓΝΩΣΗ
Τζο Μπάιντεν: Ο γιατρός του αποκαλύπτει τα ευρήματα από μία «εξαιρετικά λεπτομερής νευρολογική εξέταση»
09/07/2024
14:04
ΔΙΑΓΝΩΣΗ
ΔΙΑΓΝΩΣΗ
Κέιτ Μίντλετον: Μίλησε με τον Χάρι και την Μέγκαν, φήμες για συμφιλίωση - Όταν ο Χάρι την έλεγε «μεγάλη μου αδελφή»...
23/03/2024
12:35
ΔΙΑΓΝΩΣΗ
ΔΙΑΓΝΩΣΗ
Πάρκινσον: Νέα τεχνική βοηθά στην έγκαιρη διάγνωση της νόσου
13/04/2023
17:53
ΔΙΑΓΝΩΣΗ
ΔΙΑΓΝΩΣΗ
Επιστήμονες ανέπτυξαν τεστ αίματος που ανιχνεύει με 94% ακρίβεια τον καρκίνο του προστάτη
09/02/2023
16:31
ΔΙΑΓΝΩΣΗ
ΔΙΑΓΝΩΣΗ
Φλορ Τζάνσεν: Η τραγουδίστρια των Nightwish ανακοίνωσε ότι πάσχει από καρκίνο του μαστού
27/10/2022
16:29
ΔΙΑΓΝΩΣΗ
ΔΙΑΓΝΩΣΗ
Καρκίνος του μαστού στον άνδρα: Τα συμπτώματα και η θεραπεία
20/09/2022
12:57
Ροή Ειδήσεων
Ολυμπιακός: «Εξαφανίστηκαν» τα εισιτήρια σε 55 λεπτά – Κατάμεστο το ΣΕΦ για τα ματς με Μονακό
25/04/2026
12:43
«Αξίωμα το Ελλάς, Γαλλία, Συμμαχία» - «Βασιστείτε πάνω μας»: Ο διάλογος Μητσοτάκη-Μακρόν στο Μέγαρο Μαξίμου
25/04/2026
12:39
Άγιος Δημήτριος: Αυτό είναι το φονικό όπλο – Πού έκρυψε το μαχαίρι ο 20χρονος μετά τη δολοφονία του άτυχου 27χρονου
25/04/2026
12:26
ΟΗΕ: Πυρομαχικά που δεν έχουν εκραγεί στη Γάζα απειλούν ζωές και την ανοικοδόμηση για δεκαετίες
25/04/2026
12:16
Καιρός: Πώς θα κάνουμε Πρωτομαγιά - Πού αναμένονται βροχές το τριήμερο σύμφωνα με τον Αρναούτογλου
25/04/2026
12:09
Σεισμική δόνηση στην Κρήτη: «Θα συμβεί ένας σεισμός των 6 Ρίχτερ κάποια στιγμή» - Στο «μικροσκόπιο» ο Κορινθιακός
25/04/2026
12:03
Ο τουρκικός Τύπος για την επίσκεψη Μακρόν στην Αθήνα και τα μηνύματα στήριξης
25/04/2026
11:44
Στο Μέγαρο Μαξίμου ο Εμανουέλ Μακρόν - Υπογραφή νέας αμυντικής συμφωνίας με Μητσοτάκη
25/04/2026
11:35
Σοφία Ζαχαράκη από Δελφούς: Θέλουμε να κάνουμε πιο δυνατά παιδιά - Στροφή στη διεθνοποίηση της Ανώτατης Εκπαίδευσης
25/04/2026
11:30
Δολοφονία Ελευθερίας Γιακουμάκη: Ποιο είναι το «τρίτο πρόσωπο» που μίλησε με τον δράστη – Νέες αποκαλύψεις για την υπόθεση
25/04/2026
11:21
Εξιτήριο από τo νοσοκομείο για τη σύζυγο του πρωθυπουργού Μαρέβα Γκραμπόφσκι - Μητσοτάκη
25/04/2026
11:08
Κατασκηνώσεις ΔΥΠΑ: Ποιοι δικαιούνται τα 70.000 voucher για το καλοκαίρι
25/04/2026
11:00
Τρόμος στο κέντρο της Αλεξανδρούπολης – Περαστικοί ειδοποίησαν την αστυνομία για άνδρα με μαχαίρι
25/04/2026
10:56
Θεσσαλονίκη: Έτρεχε με 150 αντί για 50 – Χειροπέδες σε οδηγό μηχανής και πρόστιμο 7.000 ευρώ
25/04/2026
10:50
Ανάρτηση Μακρόν στα Ελληνικά από την Αθήνα: Ελλάδα και Γαλλία σκέφτονται πέρα από τον εαυτό τους
25/04/2026
10:47
Άγιος Δημήτριος: Ραντεβού θανάτου - «Άφησε με έχω προχωρήσει» είπε στο θύμα η 20χρονη - «Οι κοπέλες υπέδειξαν τον 20χρονο» είπε ο δικηγόρος της
25/04/2026
10:41
Ρωσικό σφυροκόπημα στην Ουκρανία με 619 drone και 47 πυραύλους - 4 νεκροί - Ζημιές στη Ρουμανία από θραύσματα
25/04/2026
10:23
Ωρωπός: Μήνυση για το παράνομο μπάζωμα στη θάλασσα - O Δήμαρχος καταγγέλλει αυθαίρετη επίχωση στη θαλάσσια ζώνη
25/04/2026
10:21
Επίσκεψη Μακρόν και Μητσοτάκη στη φρεγάτα «Κίμων» [βίντεο]
25/04/2026
10:05
Κατερίνα Καινούργιου: Το συγκινητικό βίντεο πριν και μετά τη γέννηση της κόρης της
25/04/2026
10:04
Η ασπιρίνη μπορεί να μειώσει τον κίνδυνο καρκίνου – και οι επιστήμονες αρχίζουν να καταλαβαίνουν το γιατί
25/04/2026
09:56
Ελλάς, Γαλλία, Συμμαχία: Μακρόν και Μητσοτάκης «σφραγίζουν» τη στρατηγική συνεργασία των δύο χωρών
25/04/2026
09:52
Θεσσαλονίκη: Αναστέλλονται δρομολόγια της Hellenic Train – Με λεωφορεία θα εξυπηρετούνται οι επιβάτες
25/04/2026
09:49
ΕΛ.ΑΣ: Διατάχθηκε EΔΕ για τα επεισόδια έξω από το Εφετείο Αθηνών
25/04/2026
09:37
Πρωτομαγιά 2026: Πότε πέφτει φέτος - Πώς αμείβεται για όσους εργαστούν
25/04/2026
09:31
ΟΛΕΣ ΟΙ ΕΙΔΗΣΕΙΣ
Εγγραφή στο Newsletter
Κάνε εγγραφή στο newsletter μας, για να μαθαίνεις πρώτος όλα τα νέα και εξελίξεις!
Email:
Agree with terms:
Συμφωνώ με τους
Όρους Χρήσης
Εγγραφή
Leave this field empty if you're human:
Σχολιασμένα
Πιερρακάκης: Η ανταγωνιστικότητα της ευρωζώνης απαιτεί ισχυρές επενδύσεις στο ανθρώπινο κεφάλαιο
12/03/2026
18:56
Τηλεθέαση: Τι συμβαίνει στην πρωινή ζώνη; Από τα 20άρια στο 4%
19/02/2026
10:47
Σύνταξη σε μία ημέρα από το 2027 - Ψηφιακά όλα τα ένσημα από το 1980 έως σήμερα
15/02/2026
07:56
Κωνσταντοπούλου: Δεν είναι αντίπαλός μου η Καρυστιανού
15/01/2026
11:34
Μαρία Καρυστιανού: Είπα - ξείπα και για την παραίτηση από τον Σύλλογο Τεμπών - Τώρα λέει ότι δεν φεύγει με ένα email
13/01/2026
17:17
Μαρία Καρυστιανού: Τώρα επιτίθεται και σε συγγενείς των θυμάτων των Τεμπών
12/01/2026
07:07
ΕΦΚΑ: Παραγραφή οφειλών στα 5 έτη αντί για 10 - Ποιοι ελεύθεροι επαγγελματίες γλιτώνουν χρέη
10/01/2026
06:43
Μαρία Καρυστιανού: Στήνουν αναχώματα οι αντισυστημικοί – Τι θα κάνει ο Τσίπρας;
11/01/2026
07:17
Πλακιάς κατά Αρβανίτη για την Καρυστιανού: Πήγες μαζί της στο Ευρωκοινοβούλιο για να εκμεταλλευτείς τη δημοφιλία της και να μαζέψεις ψήφους
09/01/2026
08:20
Ρήξη στον ΣΥΡΙΖΑ με φόντο Καρυστιανού: Στο μικροσκόπιο η στάση Φαραντούρη – Ανοιχτό το ενδεχόμενο διαγραφής
07/01/2026
13:59