Το παιδί είχε καταπιεί περίπου 40 κομμάτια τσίχλας χωρίς ζάχαρη, φτάνοντας στα επείγοντα την επόμενη ημέρα με κράμπες και διάρροια.
Οι γιατροί έκαναν έλεγχο για δύσπεπτα ξένα αντικείμενα που τα παιδιά έχουν την τάση να καταπίνουν.
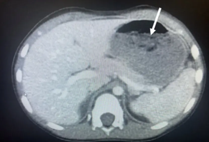
Η ομάδα των γιατρών, με επικεφαλής τον Dr. Chizite Iheonunekwu της Cleveland Clinic, ανακάλυψε το περιεχόμενο στην κοιλιά του με ακτονογραφίες, οι οποίες αποκάλυψαν τη μεγάλη μάζα.
Οι γιατροί αφαίρεσαν την τσίχλα με άκαμπτη οισοφαγοσκόπηση, με τη βοήθεια ενός μεταλλικού σωλήνα και χρησιμοποιώντας λαβίδες για να πιάσουν τη μάζα.

Ο μικρός ασθενής είχε πονόλαιμο λόγω των πολλαπλών «περασμάτων» που έγιναν για την εξαγωγή της κολλώδους μάζας, αλλά τελικά πήρε εξιτήριο χωρίς η όλη περιπέτεια να έχει μακροχρόνιες επιπτώσεις στην υγεία του, σύμφωνα με τη μελέτη.
Κι ενώ υπάρχει μια ευρέως διαδεδομένη πεποίθηση στον κόσμο ότι η τσίχλα παραμένει στο σώμα για επτά χρόνια, οι ειδικοί την έχουν καταρρίψει.
«Αν έχετε καταπιεί μια τσίχλα, αυτή θα βγει περίπου 40 ώρες αργότερα στα κόπρανα», δήλωσε πέρυσι στην Cleveland Clinic η εγγεγραμμένη διαιτολόγος Beth Czerwony. «Επειδή δεν μπορεί να χωνευτεί, βγαίνει ολόκληρη».

Αλλά η κατανάλωσή της δεν πρέπει να αποτελεί τακτική συνήθεια – μπορεί να προκαλέσει εντερική δυσφορία επειδή δεν μπορεί να χωνευτεί. «Αν το κάνετε αυτό κάθε μέρα ή πολλές φορές την ημέρα, μπορεί να προκαλέσει εντερική απόφραξη», προειδοποίησε ο Czerwony, σύμφωνα με τη New York Post.
«Οτιδήποτε τρώτε μετά από αυτό δεν πρόκειται να μπορέσει να περάσει, γεγονός που οδηγεί σε πόνο και πίεση».
Τελικά πόσο επικίνδυνο είναι να καταπιούμε μια τσίχλα
Σύμφωνα με τον γιατρό, η τσίχλα υπάγεται σε μια διαφορετική κατηγορία τροφίμων.
«Η τσίχλα αποτελεί μια πολύ συγκεκριμένη σύνθεση στοιχείων που την καθιστούν δύσπεπτη», εξηγεί ο Δρ Μπερουκίμ. Τα συστατικά αυτά είναι και ο λόγος που μπορούμε να τη μασάμε για ώρες, δίχως να αποσυντίθεται μέσα στο στόμα.

Εφόσον καταπιούμε μια τσίχλα πρόκειται να τη χωνέψουμε ποτέ πλήρως;
Ίσως έχουμε ακούσει όταν ήμασταν παιδιά τη φήμη ότι η τσίχλα παραμένει στο γαστρεντερικό μας σύστημα για επτά ολόκληρα χρόνια αφότου την καταπιούμε. Αυτό, σύμφωνα με τον Μπερουκίμ, είναι φυσικά ανυπόστατο.
«Τα πεπτικά μας ένζυμα μπορούν εύκολα να διασπάσουν όλα τα συστατικά της τσίχλας, εκτός από τη βάση της, που αποτελείται από μια αδιάλυτη σύνθεση που περιλαμβάνει ρητίνες, υγροσκοπικά, ελαστομερή, γαλακτωματοποιητές, αντιοξειδωτικά, γλυκαντικά και αρωματικούς παράγοντες. Η βάση της τσίχλας είναι αυτό που της προσδίδει την κολλώδη και ελαστική υφή της», εξηγεί ο γαστρεντερολόγος.
Ωστόσο, το γεγονός ότι δεν μπορούμε να αφομοιώσουμε πλήρως όλα τα συστατικά μιας τσίχλας, δεν σημαίνει ότι αυτή θα παραμείνει στο σύστημά μας για πάντα. Μάλιστα, ο Δρ Μπερουκίμ παρομοιάζει την τσίχλα με άλλα πράγματα που καταναλώνουμε τακτικά, τα οποία ο οργανισμός μας δεν μπορεί να διασπάσει, όπως τα κουκούτσια του καρπουζιού και τους πυρήνες στο ποπ κορν.
«Αυτά ναι μεν δεν είναι εύπεπτα, αλλά εξακολουθούν να ακολουθούν την φυσιολογική πορεία που επιβάλλει το πεπτικό σύστημα και στο τέλος να αποβάλλονται από τον οργανισμό μας», προσθέτει ο ειδικός.
Πόσο επιβλαβές θεωρείται το να καταπιεί κανείς μια τσίχλα
Παρόλο που η κατάποση μιας τσίχλας δεν είναι και ό,τι καλύτερο για τον οργανισμό, στην πραγματικότητα, είναι απίθανο να μας προκαλέσει πεπτικές διαταραχές. Ιδίως εφόσον πρόκειται για κάτι που έτυχε για μια και μοναδική φορά.
«Μετά την κατάποση μιας τσίχλας, ορισμένοι ασθενείς αναφέρουν κατευθείαν έντονο πόνο στο στομάχι. Αυτό, στις περισσότερες περιπτώσεις, δεν είναι παρά μια ψυχολογική απόκριση», εξηγεί ο γαστρεντερολόγος.
«Σε αυτή την περίπτωση, η τσίχλα μπορεί να συσσωρευτεί και να σχηματίσει μια μεγαλύτερη συστάδα, υπερβολικά ογκώδη ώστε να διέλθει φυσιολογικά μέσω του πεπτικού σωλήνα, προκαλώντας τελικά απόφραξη. Και δεδομένου ότι σε έναν παιδικό οργανισμό η διάμετρος του λεπτού εντέρου είναι μικρότερη, ο κίνδυνος απόφραξης αυξάνεται», επισημαίνει ο Δρ Μπερουκίμ.
Εν ολίγοις, ο γιατρός μας συμβουλεύει μόλις η τσίχλα μας χάσει τη γεύση της ή κουραστούμε να τη μασάμε, να τη φτύσουμε. Δεν αξίζει να αγχώνομαστε για το ενδεχόμενο να την καταπιούμε κατά λάθος.
Με πληροφορίες από Wellandgood
Ειδήσεις σήμερα
Συντάξεις: Αυξήσεις πάνω από 8% στις νέες [αναλυτικοί πίνακες]
Εκλογές στην Τουρκία: Θέλει να γίνει «ισόβιος» πρόεδρος ο Ερντογάν
ΣΥΡΙΖΑ: Αρνητής της πραγματικότητας ο Τσίπρας – Επιμένει σε λαϊκισμό και καταστροφολογία

