Ένας ασυνείδητος πυροβόλησε ένα κουταβάκι μόλις τριών μηνών σύμφωνα με το argolikeseidhseis.gr. Σύμφωνα με την καταγγελία του Φιλοζωικού Συλλόγου Άργους Λάιζα «βρίσκεται ήδη σε εξέλιξη η αυτόφωρη διαδικασία για τον συγκεκριμένο υπάνθρωπο που βγήκε και πυροβόλησε ένα κουτάβι τριών μηνών με εννιάρια φυσίγγια. Όπως επιβάλει ο νόμος, θα οριστεί δικάσιμος και θα οδηγηθεί στη δικαιοσύνη από την μάρτυρα που τον κατήγγειλε και από την αυτεπάγγελτη μήνυση της αστυνομίας».
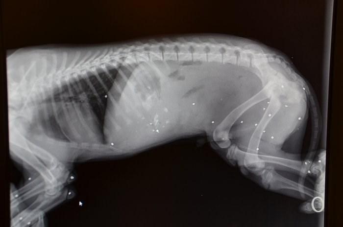
Αμέσως ενημερώθηκε ο Σύλλογος και έσπευσε στο σημείο μαζί με την Ασφάλεια Άργους, όπου και μετέφεραν το μικρό κουτάβι στον κτηνίατρο. Έπειτα από ακτινογραφίες, διαπιστώθηκαν πάνω από 25 θραύσματα μέσα στο κορμάκι του.
